トイプードル ♂ 6か月 2.7kg
台から飛び降りてびっこをひいてるとのことで来院。レントゲンで右前肢橈尺骨遠位端骨折を確認し、手術を行った。

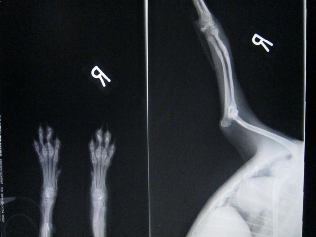
術前のレントゲンです。
右前肢の橈尺骨が明らかに折れています。

術後のレントゲンです。
プレートで固定致しました。

超音波治療中です。
端子を2つ骨折部位に固定し、超音波をあてます。
術後、抜プレートまで定期的に行うことで骨癒合を促進します。

51日目のレントゲンです。
少しネジがゆるんでいますが、
骨癒合は良好です。
この後、抜プレートを行いました。

抜プレート後のレントゲンです。
骨折部位は少し太くなって治ります。