ヨークシャーテリア ♀ 6歳10か月 2.3kg
急に左後肢を痛がってびっこをひいているとのことで来院。前十字靭帯が断裂しており、手術を行った。
両側の膝蓋骨脱臼も併発しており、その整復手術も同時に行った。

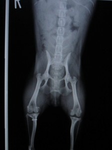
術前のレントゲンです。
両側膝蓋骨脱臼も見られます。

まず、滑車造溝術を行いました。
滑車を深くする手術です。

次に前十字靭帯断裂の整復を行います。
太い縫合糸を使って、大腿骨の外側種子骨と脛骨を固定します。

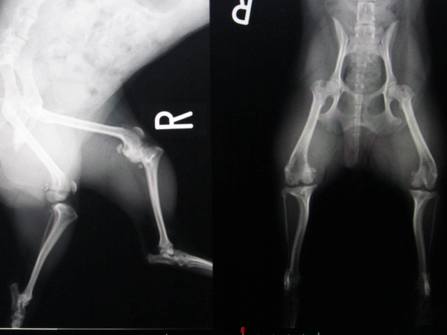
術後のレントゲンです。
右後肢は滑車造溝術と脛骨粗面転移術を行いました。
どちらの足も膝蓋骨がしっかりと大腿骨の滑車の上に乗っています。